忍者ブログ
建築家をめざす所員のブログ【KEN一級建築士事務所】

[PR]

×

[PR]上記の広告は3ヶ月以上新規記事投稿のないブログに表示されています。新しい記事を書く事で広告が消えます。

進化論


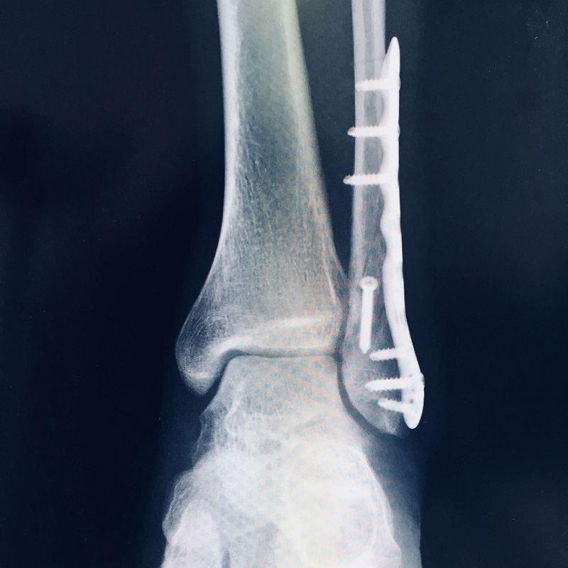
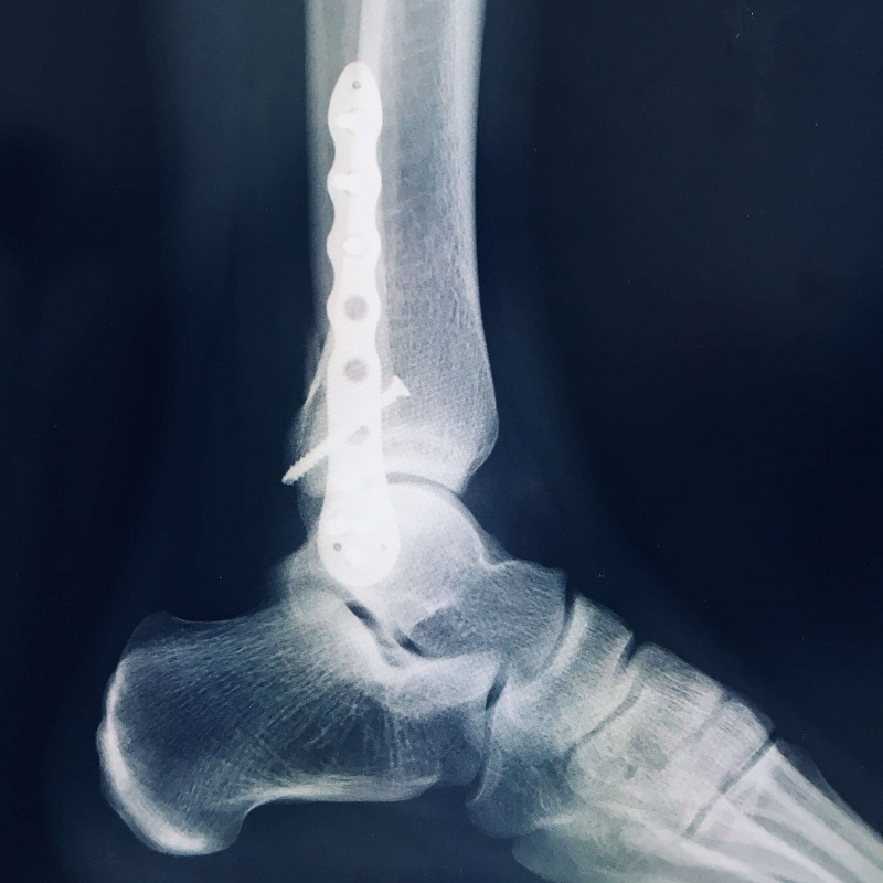
足首を骨折したのですが、もう歩けるの?

とよく言われます。

皆さんは松葉杖でギブスしたイメージかもしれませんが、

ギブスの代わりに金属プレートを埋め込んだのです。

それがこちらです。





なんと、2×4工法で使う構造用金物みたいなものが

足に入っているではありませんか。

手術後は何があったかはわかっていませんでしたが、

このX線を見て、なんだか痛みを感じるような気がします。

変化に適応できるものが生き残るのだ。

とダーウィンが言いましたが、

意外と人間も適応できるものですね。

人工的ではありますが。


yamamoto
PR

pagetop